-
부정교합 건강한 교합을 위한 전신 교정의 중요성터커리 2023. 11. 21. 09:21반응형
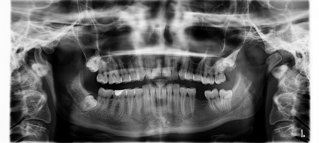
부정교합은 치아의 이상적인 교합 상태가 아닌 상태를 의미합니다. 일반적으로 상·하악 치아들이 정확하게 맞물리지 않거나 교합이 부적절한 경우를 말합니다. 부정교합은 다양한 원인에 의해 발생할 수 있으며, 개인의 구강 구조, 치아의 크기와 위치, 교합근, 턱관절 등이 관련되어 있습니다.

부정교합 예방법 부정교합 원인
부정교합은 다양한 원인에 의해 발생할 수 있습니다. 가족 중에 부정교합이 나타나는 경우, 유전적인 영향이 있을 수 있습니다. 유전자가 치아와 턱의 크기, 형태, 위치 등에 영향을 주어 교합의 불균형을 일으킬 수 있습니다. 어린이의 치아와 턱은 성장과정에서 변화하며, 이로 인해 부정교합이 발생할 수 있습니다. 치아의 발육이 비대칭적이거나 턱의 크기와 치아의 크기가 맞지 않을 경우 부정교합이 발생할 수 있습니다. 혀 앞으로 튀는 습관, 입을 가만히 열어두는 습관, 손가락이나 손목을 이용한 물체를 물거나 문지르는 습관 등은 부정교합을 유발할 수 있습니다. 외상이나 사고로 인해 치아나 턱에 손상이 발생하면 교합에 이상이 생길 수 있습니다. 턱관절의 이상이나 치아의 이상적인 위치를 방해하는 구조적 문제도 부정교합의 원인이 될 수 있습니다. 그 밖에 스트레스나 불안 상태에 있는 사람들은 부정교합을 보일 수 있습니다. 이러한 경우에는 스트레스 관리와 심리적인 지원이 필요할 수 있습니다.
부정교합 예방법
올바른 구강 관리 습관을 가지고 치아와 구강을 청결하게 유지해야 합니다. 이는 칫솔과 치실을 사용하여 치아를 깨끗하게 닦고 치아 사이의 이물질을 제거하는 것을 포함합니다. 턱을 편안하게 유지하고 입을 가만히 닫아 부정교합을 방지하는 것이 중요합니다. 턱이 자연스럽게 위치하고 치아가 면역적으로 맞물리도록 노력해야 합니다. 부정교합을 유발하는 습관을 개선해야 합니다. 예를 들어, 혀 앞으로 튀는 습관이나 손가락을 물거나 문지르는 습관을 피하는 것이 도움이 됩니다. 스트레스는 부정교합을 악화시킬 수 있는 요인 중 하나입니다. 스트레스 관리 기술을 배우고 일상적인 스트레스를 관리하는 것이 중요합니다. 심리적인 안정과 균형을 유지하는 것이 부정교합 예방에 도움이 될 수 있습니다. 정기적인 치과 검진을 받아 구강 건강 상태를 확인하고 부정교합의 조기 발견과 치료를 할 수 있습니다. 치과 의사는 부정교합의 진단과 치료를 위해 필요한 조치를 제시할 수 있습니다. 이러한 예방법은 부정교합을 예방하고 구강 건강을 유지하는 데 도움이 됩니다.
부정교합 치료법
부정교합의 치료는 개인의 상황과 부정교합의 원인에 따라 다양하게 접근될 수 있습니다. 교정치과의사와의 상담을 통해 교정치료를 선택할 수 있습니다. 교정치료는 치아와 턱의 위치와 교합을 개선하기 위해 다양한 치과 교정기를 사용하는 것을 의미합니다. 그러나 심미적으로만 접근한 교정치료는 턱관절과 경추의 문제로 연결될 수 있으니 전신을 바로잡을 수 있도록 할 수 있는 전문 의사를 잘 찾아야 합니다. 구강 보건 전문가는 올바른 구강 관리 기술과 입안 자세를 가르쳐 줄 수 있습니다. 개인에게 맞는 칫솔, 치실 사용법과 구강 청결 유지에 대한 교육을 받는 것이 중요합니다. 부정교합이 턱 관절 문제와 관련이 있는 경우, 턱관절 치료를 통해 부정교합을 개선할 수 있습니다. 이를 위해 턱관절 재교육, 마사지, 물리치료 등의 치료 방법을 사용할 수 있습니다. 부정교합은 각 개인의 상황에 따라 다양한 원인이 있을 수 있으므로, 개인 맞춤형 치료 계획이 필요합니다. 의사와 상담하여 정확한 진단과 개인에게 적합한 치료 방법을 결정하는 것이 중요합니다. 부정교합의 치료는 전문적인 도움과 지속적인 관리가 필요할 수 있습니다.
반응형'터커리' 카테고리의 다른 글
하이인텐시티 인터벌 트레이닝 효과적인 HIIT 운동으로 빠르게 다이어트하기 (4) 2023.11.21 불면증 숙면을 방해하는 불청객 불면증 자연치료 요법 (2) 2023.11.21 아이들 장염 자연주의 한방치료법과 예방법 (18) 2023.11.20 강직성 척추염을 이기는 방법 치료와 자기관리 팁 (17) 2023.11.20 교통사고 후유증 간과할 수 없는 병증 교통사고 한방치료 (3) 2023.11.20