-
사경증 치료는 턱관절 한의원에서 치료받아보세요.터커리 2024. 6. 13. 09:58반응형
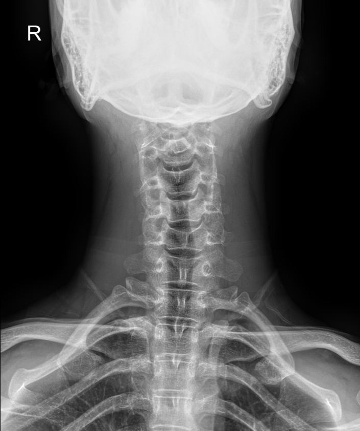
사경증으로 치료받는 환자들도 결국은 경추 측만증이라는 것을 아시는지요. 요즘 3D MRI도 나오는 시대입니다. 매우 의학적인 치료와 검사에 도움이 되고 있습니다. 사경증의 원인을 아직은 못 찾고 있지만 X-ray 검사를 해보면 역커브와 경추가 휘어있고 틀어져 있는 것을 많이 볼 수 있습니다.

사경증도 척추를 바르게 하는 CBA장치로 치료 받아보세요 턱관절과 빠진 경추를 제자리에 정렬을 시키는 치료가 중요합니다.
사경증 또한 CBA를 이용한 턱관절교정으로 치료될 수 있습니다. 사경증도 경추의 뼈대 변형으로 인한 틀어지는 증상이 있기 때문에 근본적인 치료는 틀어지고 휘어지는 경추의 뼈대를 바르게 만들어 주면 되는 것 입니다만 결코 쉬운 치료는 아닙니다. 천리길도 한 걸음부터 사경증도 경추 1,2번 교정부터 시작을 해야 합니다. 경추 1,2번을 턱관절과 같이 바르게 하는 것은 치료의 첫 단추를 맞추고 통증 치료의 실타래를 하나씩 풀어가기 시작을 하는 것입니다. 역커브가 C커브 경추로 가려면 일자목을 지나서 C커브로 교정됩니다. 사경증 환자의 경우도 처음은 막연하고 방법이 없지만 턱관절과 빠져있는 목뼈를 바르게 정렬을 시켜주면 치료의 첫걸음을 시작한 것입니다.
치료에도 방법이 다르고 맞는 궁합이 있다.
목뼈가 빠져서 목이 막 돌아가고 연축이 있고 하는 데 신경안정제, 보톡스 같은 치료가 맞는 것입니까? 침치료만 받아도 낫는 증상이 있고 약을 써야 낫는 증상이 있고 교정을 하지 않으면 낫지 않는 증상이 있는 것입니다. 팔에 골절이 있으면 어떻게 해야 하나요? 깁스해야 합니다. 그러나 침만 맞고 낫겠으니 침만 놔주세요 하는 환자는 매우 어리석은 것입니다. 실제로 임상에 이런 환자가 있습니다. 연축성 사경증으로 몸이 떨리고 목이 돌아가는데도 어떻게 침으로 안될까요? 하는 환자는 저도 어떻게 해야 할지 난감할 때가 있습니다. 상급 병원에서 꾸준히 약물치료와 검사를 반복하는 치료도 증상에 맞지 않는 치료를 계속하는 것으로 보입니다. 하찮은 나사와 볼트라도 맞지 않으면 그 기계의 작동은 안 될 수 있듯이 목뼈가 빠져있어서 병적으로 돌아가는 목뼈는 빠진 목뼈를 제자리에 끼워 넣는 치료가 가장 필요한 치료입니다. 그러한 것이 바로 턱관절과 경추 1,2번을 교정하는 CBA치료입니다.
치료 후에는 반드시 X-ray검사로 치료 후까지 확인해 보자
사경증이 있을 때와 교정이 된 후에는 우선 먼저 증상이 없어집니다. 언제 어떻게 얼마나 사경증이 나아지는지 알 수 없지만 치료를 받는 만큼 증상이 없어지는 것은 확인이 가능합니다. 연축이 없어지고 목이 기우는 각도도 작아지고 돌아가는 정도도 점점 줄어듭니다. 치료 끝까지 목이 돌아가고 떨리는 환자도 있습니다. 이러한 증상은 아직 경추가 바르게 되지 않아서 그런 것입니다. 척추의 모양과 변형이 이렇게 중요합니다. 하지만 끝까지 교정 치료에 도전을 해서 바르게 된 후에는 여러 증상의 정도가 많이 줄어 있습니다. 이런 후에는 반드시 X-ray를 찍어서 치료의 전과 후를 비교해 보면 치료에 많은 보람이 있습니다. 측만증과 사경증, 목, 허리 디스크를 치료하기 위해서 통증부위나 문제의 부위만을 치료해서는 안된다는 것입니다. 척추의 첫 단추는 턱관절과 경추 1,2번 교정입니다. 목뼈가 빠져서 턱관절과 짝이 맞지 않으면 그 사람은 두통부터 목, 허리, 발바닥의 족저근막염까지 원인 불명의 통증으로 시달리게 됩니다. 이런저런 안 해본 치료가 없다 하는 분들 아주 많습니다. 목은 빠져있는데 밑에 척추를 아무리 치료해 준 들 시간낭비, 돈낭비만 된 것입니다. 수술해서 허리는 안 아프지만 발, 다리가 저리저리 하다는 것은 올바른 척추치료가 아니라고 생각합니다. 못 걸은 상태에서 걷는 것에 만족을 한다는 것도 매우 안타까운 치료 효과임에는 분명합니다. 우리 몸은 매우 정교합니다. 족저근막염은 원인 모를 발바닥 통증이 아니라 경추부터 허리까지 눌려내려는 압력으로 인한 방사통의 하나라는 것을 알아야 합니다. 병이 50개면 50개 약을 먹을 것이 아니라 근본원인을 알고 해결해야 하는 노력이 필요합니다. 신도림동 터커리한의원은 CBA를 이용한 턱관절 교정을 중점적으로 하고 있습니다. 사경증, 틱장애, 목디스크, 요추협착증 허리수술을 받고 난 후에도 다리가 당기고 저려서 힘든 분들은 오셔서 척추의 첫 단추부터 다시 맞추는 교정 치료를 받아보세요. 가려운 환자의 통증 부위를 시원하게 해 드릴 수 있을 것입니다.
반응형'터커리' 카테고리의 다른 글
출산 후 치아통증을 CBA를 이용한 턱관절 교정으로 고치다. (43) 2024.06.21 축구로 피지컬 업 건강하고 멋진 몸 만들기 (21) 2024.06.18 글리오블라스트코마 뇌 악성종양 증상, 원인, 치료법, 예방법 알아보기 (21) 2024.06.12 골다공증 예방, 증상, 진단 및 치료에 대한 모든 것 (94) 2024.06.05 빈혈의 원인, 증상, 예방법, 그리고 빈혈에 좋은 음식 (141) 2024.06.03
