-
사경증도 경추 측만증 일 뿐...교정으로 치료받자터커리 2024. 1. 8. 00:00반응형
사경증은 원인불명의 난치병으로 분류가 됩니다. 원인도 뚜렷하지 않고 치료법도 확실하지 않은데 사경증을 가만히 들여다보면 경추측만증과 유사합니다.

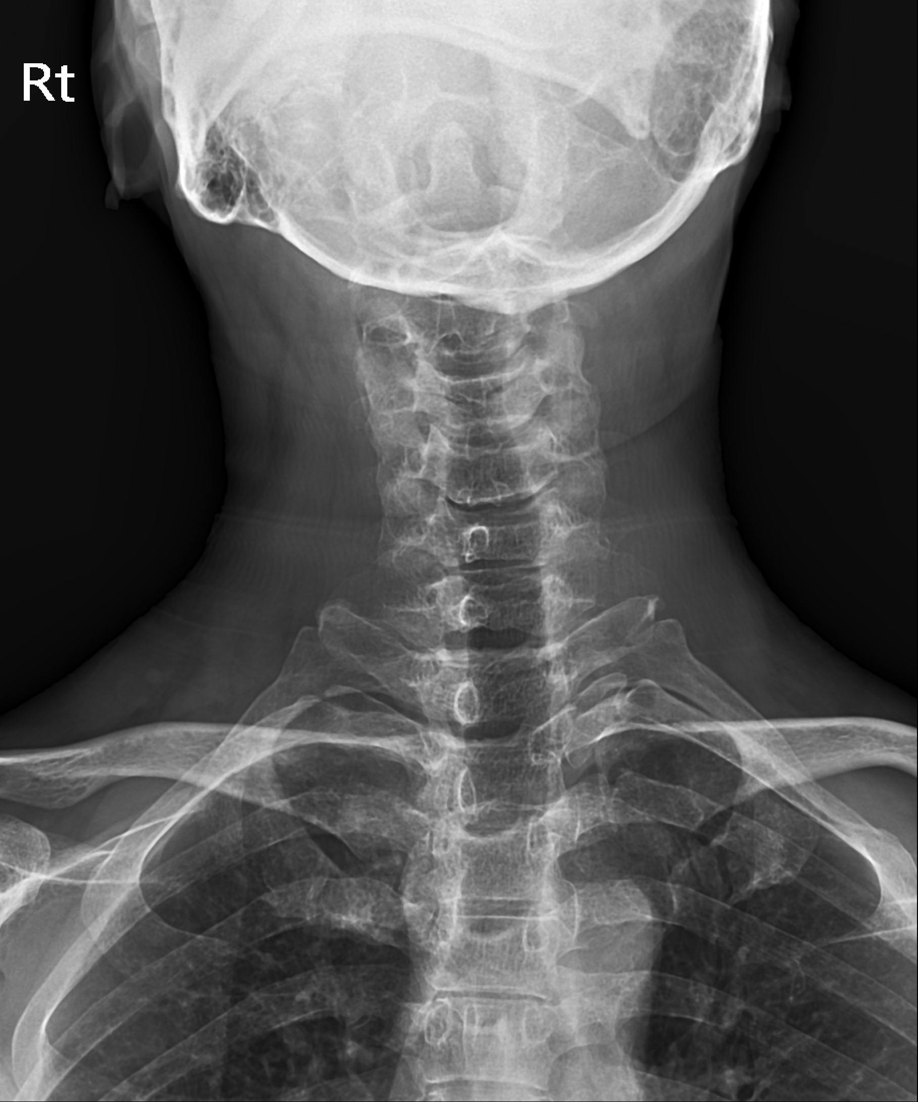
사경증 X-ray검사로 사경증 원인은 확인가능하다.
사경증은 목의 통증과 흉추, 요추의 방사통을 동반하고 목근육이 불수의적으로 움직이고 심하면 떨리기도 하면서 마음대로 목을 가누기가 힘든 증상이 특징입니다. 기저핵 이상, 11번 뇌신경압박등을 원인으로 보고 있지만 확실하지는 않습니다.
사경증 환자들의 목의 X-ray결과를 보면 경추부터 흉추, 요추까지 휘어있는 측만증과 같은 검사결과가 매우 많습니다. 일자목은 누구나 있고 등이 조금 휜 건 큰 병이 아니니까 그냥 살아도 되는 것이 아닙니다. 경추는 C커브가 반드시 되어야 하고 휘어진 척추는 바르게 교정해야 여러 가지 경추와 요추의 디스크, 협착증 등의 치료의 근본이 됩니다. 그러다 보면 사경증이라는 병명도 무색하게 자꾸자꾸 본래 모습대로 교정이 돼서 치료가 되는 것입니다. 그 후에 X-ray검사를 받아보면 경추가 바르고 두개골 균형, 척추의 라인도 정상으로 돌아가는 모습이 확인가능합니다.CBA장치를 이용한 턱관절 교정으로 경추를 바로 잡자.
교정을 받고 추나베드에서 내려오면 척추는 바로 틀어집니다. 비행기가 균형을 잡듯이 척추가 균형을 잡아야 하는데 경추 2번부터 자꾸 척추는 주저앉고 틀어집니다. 그래서 경추 1,2번을 바로 잡고 턱관절과 경추가 척추 균형을 유지할 수 있도록 CBA장치를 제작 착용 합니다. 그래야 비틀어지고 중심에서 휘어진 척추는 가운데로 재조립이 됩니다. 사경증 치료는 척추교정이 필요한 것이지 근육치료가 필요한 것이 아니다.
척추가 움직여서 바로 세워져야 사경증은 치료된다.
목이 기울어지고 틀어지니까 근육을 잡아주는 방법을 생각하지만 목과 허리의 통증과 사경증은 척추를 흐르는 신경을 척추가 틀어지면서 압박을 해서 생기는 것이므로 척추를 바르게 하는 것이 근본 통증치료이고 정상 신경흐름 유도가 됩니다. 사경증 치료가 매우 어렵습니다. 그러므로 임시방편 치료에 잡혀서도 안 됩니다. 신도림동 터커리한의원에 오셔서 CBA를 이용한 경추교정으로 사경증 치료받아보시기 바랍니다.
반응형'터커리' 카테고리의 다른 글
TMJ와 목디스크와의 관계 (132) 2024.01.10 병명의 개수 대로 약을 먹으면 허리디스크가 좋아질까? (102) 2024.01.09 허리디스크 치료는 척추 전체의 대형공사이다..? (93) 2024.01.07 턱관절 치료는 1회용 스프린트(CBA)로 치료하자 (72) 2024.01.04 머리는 차게 배는 따뜻하게 의 중요성 (107) 2024.01.04
