-
사경증(dystonia)은 CBA로 치료받고 X-ray로 판단하라터커리 2024. 7. 17. 09:17반응형
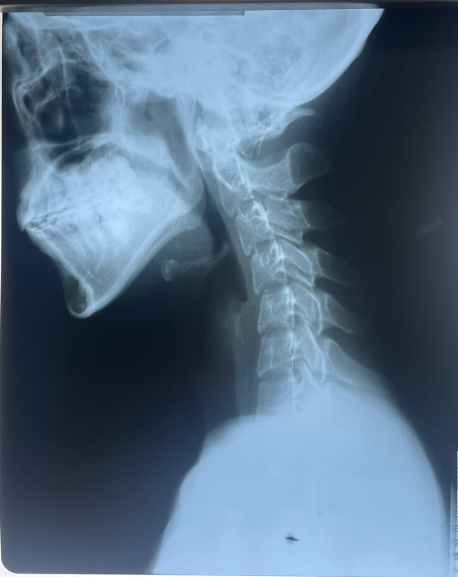
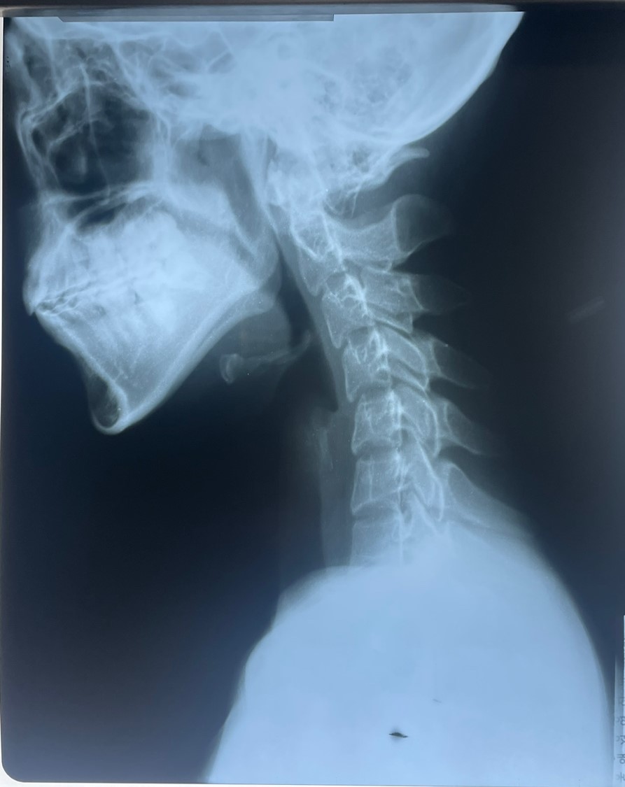
사경증 환자의 목을 X-ray로 보면 심한 역커브, 기울어져 있는 목, 들어져 있는 목 등이 복합되어 있는 것을 볼 수 있습니다. 경추가 앞으로 꺾이면서 옆으로 휘어있으면서 틀어져있다 보니 그 주변을 지나는 신경계에 혼란이 심해지면 목을 떨게 되는 연축성 떨림(Torticollis)까지 나타나는 것입니다.

사경증도 턱관절과 경추1번 교정부터 하고 CBA로 고정하는 치료가 중요하다. 연축성 사경증 (Torticollis dystonia) 도 측만증의 일종일 뿐 CBA를 이용한 경추 1번과 턱관절 교정으로 치료하자
연축성 사경증(Torticollis dystonia)에는 큰 의료기관에서도 약물 치료와 운동 치료에 엄두조차 내기 힘든 것이 사실입니다. 최근 근육이 떨리니까 근육을 잡아주는 보톡스 치료를 받는 환자분들 계신데요 의사들의 치료의 상상력에 존경을 표해야 할지 웃음을 지어야 할지. 사경증은 척추가 틀어져서 생긴 증상일 뿐입니다. 스트레스에 의한 것도 아니고 원인불명의 불치병도 아닙니다. 허리디스크가 좁아진 것은 좁아진 척추의 병입니다. 그래서 좁아진 디스크 사이를 벌려주면 되는 것입니다. 휘어진 경추를 바르게 해 주려면 경추를 바르게 잡아주면 기울어진 목이 바르게 되는 것입니다. 역커브만 있어도 목이 항상 당기고 불편합니다. 그런 환자를 일자목으로만 교정치료 해주어도 목 당기는 것이 없어집니다. C커브까지 더 치료를 해야 하는데 치료 안 받아도 된다고 합니다. 역커브가 심하면서 경추가 옆으로도 휘어 있으면 그때부터 환자는 항상 심하게 목이 당기거나 등, 어깨까지 허리까지도 통증을 호소하게 되고 더 심하게 꺾이고 휘면 떨게 됩니다. 또 한 가지는 X-ray에 따라서 공식적으로 목이 아프고 허리가 아프고 사경증이 오고 하는 것을 알 수는 없습니다. X-ray만 보고서 이 환자는 허리가 아프다 목이 아프다 알 수 없고 추정만 한다는 것입니다. X-ray 보면서 환자의 통증 부위와 맞추어 보는 것입니다. 신경이 어디가 눌리고 하는 것을 검사로 확인하는 데에도 한계가 있습니다.
사경증, 틱장애, 목디스크, 허리디스크, 디스크 수술 후유증이라도 경추 1번부터 교정하라
사경증, 틱장애, 목디스크, 허리디스크, 디스크 수술 후유증의 공통점은 척추병입니다. 척추가 바뀌지 않으면 낫기 힘들다고 생각합니다. 휜 곳을 바르게 하고 역커브는 C커브로 좁아진 디스크 간격은 벌려주어야 하는데 그러기 위해서는 빠져있는 경추 1번부터 바르게 정렬시켜야 합니다. 병명은 큰 의미가 없습니다. 위의 질병이 다 섞여 있는 환자라 할지라도 턱관절과 경추 1번부터 바르게 잡아주어야 치료는 시작이 된다고 할 수 있습니다. 휘어진 척추를 바르게 세울 때까지 교정을 하는 것입니다. 물론 몇 개월이 걸릴 수도 있고 1년을 넘어가는 환자의 경우도 있습니다. 하지만 처음 번치료받기 전 보다 증상의 호전이 있다면 계속 치료를 이어가야 합니다. 교정을 많이 받는 만큼 빨리 좋아지는 것도 사실입니다. 치료를 등한 시 하면 그만큼 늦어집니다. 약 즘 먹으면 탁 좋아지는 그런 건 없습니다. 척추병은 치료받기 전의 X-ray와 Follw up을 해서 다시 X-ray를 찍었을 때 달라지는 것이 보여야 진짜 척추 치료가 되는 것입니다. 척추병을 근육을 키워서 치료하는 건 결이 다른 차원의 치료입니다.
턱관절과 경추1번을 동시에 교정하고 고정까지 해주는 CBA치료를 받아보세요
신도림동 터커리한의원 에서는 턱관절과 경추 1번을 교정하고 고정까지 하는 치료를 집중적으로 하고 있습니다. 약을 써야 하는 병이 있고 교정을 안 하면 안 되는 병이 있습니다. 그중 하나가 사경증, 틱장애, 허리디스크 요추협착증 등 치료가 잘 안 되는 질환들이 있습니다. 다른 병원에서 허리수술도 하고 그랬는데 치료받을 수 있나요? 하시는 분들도 치료가 가능합니다. 경추 1번, 2번에 너무 가깝게 수술한 분들이 아니면 대체적으로 치료가 가능하십니다. 부정교합이 있어도 치료 가능하지만 치아 없이 틀니 없이 지내시는 어르신들은 틀니라고 하고 오십시오. 틀니도 없으면 치료는 불가능합니다. 땅이 꺼지는 홀 근처 위에 근사한 집을 지을 수는 없습니다. 사경증 교정치료가 수개월이 걸릴 수도 있고 1년을 넘어서 치료를 받아야 할 순 있지만 평생을 놓고 본다면 과감하게 치료에 도전해 볼 가치가 충분히 있습니다. CBA를 이용한 치료는 마취가 필요 없고 약물도 쓰지 않습니다. 저희 한의원의 안내를 잘 받으시면 큰 부작용도 없습니다. 척추가 120번을 틀어져서 교정을 해야 한다면 그 횟수대로 새로운 CBA스트린트를 만들어서 착용을 하는 치료입니다. 환자분들의 적극성이 요구됩니다. 큰 마음 드시고 치료에 적극적으로 임해주시기 바랍니다.https://naver.me/FgiE6Sux
반응형'터커리' 카테고리의 다른 글
CBA를 이용한 턱관절교정은 10병원 안 부럽다. (74) 2024.07.20 턱관절치료는 스프린트가 필요합니다. 턱관절한의원에서 CBA로 교정받으세요. (70) 2024.07.19 턱관절 디스크도 CBA를 이용한 턱관절교정이 필요하다. (96) 2024.07.08 사경증, 근긴장이상증도 CBA를 이용한 턱관절 교정부터 받아야 한다는 사실 (98) 2024.07.02 출산 후 치아통증을 CBA를 이용한 턱관절 교정으로 고치다. (43) 2024.06.21
