-
CBA를 이용한 턱관절교정은 10병원 안 부럽다.터커리 2024. 7. 20. 09:31반응형
턱관절장애는 전신 척추질환을 만듭니다. 반대로 전신척추질환은 턱관절교정을 받으면 매우 많이 좋아집니다. 목통증, 허 리디스크, 요추협착증 수술 등 척추질환은 인류가 직립보행을 하면서 생길 수밖에 없는 질환들입니다. 척추가 주저앉기 때문입니다. 허리디스크 목디스크가 생기면 턱에 통증이 없어도 CBA를 이용한 턱관절교정을 받아야 근본적인 척추교정이 됩니다.

턱관절과 척추질환은 별개가 아니라 동시에 좋아져야 합니다. 경추 1,2번은, 슬쩍 빠져있기 때문입니다.
어떻게 보면 우리 몸은 턱 빠진, 경추 빠진 척추구조를 이루고 있습니다. 턱관절통증, 턱관절장애로 우리 한의원에서 CBA로 교정받다가 평소에 갖고 있던 목디스크 허리디스크까지 나아서 가는 환자들이 전부입니다. 턱관절교정이 잘 되면 척추라인이 재배열이 되어서 디스크 간격이 벌어집니다. 목, 허리, 목, 허리, 두통이 낫지 않으면 턱관절장애가 좋아질 수 없습니다. 턱관절은 치과 목, 허리는 척추병원... 이런 공식적인 치료는 진통제를 쓰지 않고 수술하지 않고도 나을 수 있는 이상적인 치료를 놓치기 쉬운 치료방법입니다. 척추와 턱관절은 같이 움직이기 때문에 높이, 전후, 좌우가 3차원적으로 맞아야 턱관절과 척추가 제자리로 들어가게 됩니다. 허리가 아파서 허리를 치료했더니 허리가 좋아졌다는 것은 그만큼 허리디스크 간격이 아직은 넓다는 것입니다. 40년 요추협착증 할머니가 침 1방에 낫게 해 달라는 것은 불가능합니다. 치아는 엉망이고 척추는 다 주저앉았지만 경추 1,2번과 1,2 턱관절을 반듯하게 맞추어 주면 40년 동안 주저앉은 척추들이 처음 펴지기 시작하면서 허리통증이 반 이상이 날아가야 정상 치료가 된 것입니다.
CBA를 이용한 턱관절, 척추교정으로 치료가 가능합니다.
턱관절과 목, 허리가 동시에 되는 CBA교정을 받으면 턱관절도 좋아지고 목, 허리, 두통도 좋아지고 이명, 어지러움, 등등이 같이 좋아지므로 시간적으로 비용적으로 수지맞는 치료가 됩니다. 가설을 세우고 치료를 했더니 환자가 좋아진다면 이것은 과학적인 치료입니다. 실제로 CBA를 이용한 교정은 턱관절음양 자세 교정술이라는 한의학학회에 등록이 되어있는 치료법입니다. 과대광고가 아닙니다. 다른 의료기관에서 치료를 받고 온 환자들의 경험을 들어보면 턱관절교정이나 요추협착증, 사경증의 치료에서 아직도 턱관절통증은 턱관절만 보고 허리통증은 허리만 보고 치료하는 것은 근본치료에는 접근하지도 못하고 거리가 멀어 보입니다. 턱관절과 척추치료는 동시에 되어야 합니다. 치과에서 치료를 받아도 낫지 않고 더 심해지는 턱관절장애 병원에서 시술을 수없이 받아도 안 낫는 허리 요추협착증, 전방전위증 이 있어도 CBA를 이용한 교정으로 치료가 가능합니다.
치아의 상태는 전신질환에 직접적인 영향을 줍니다.
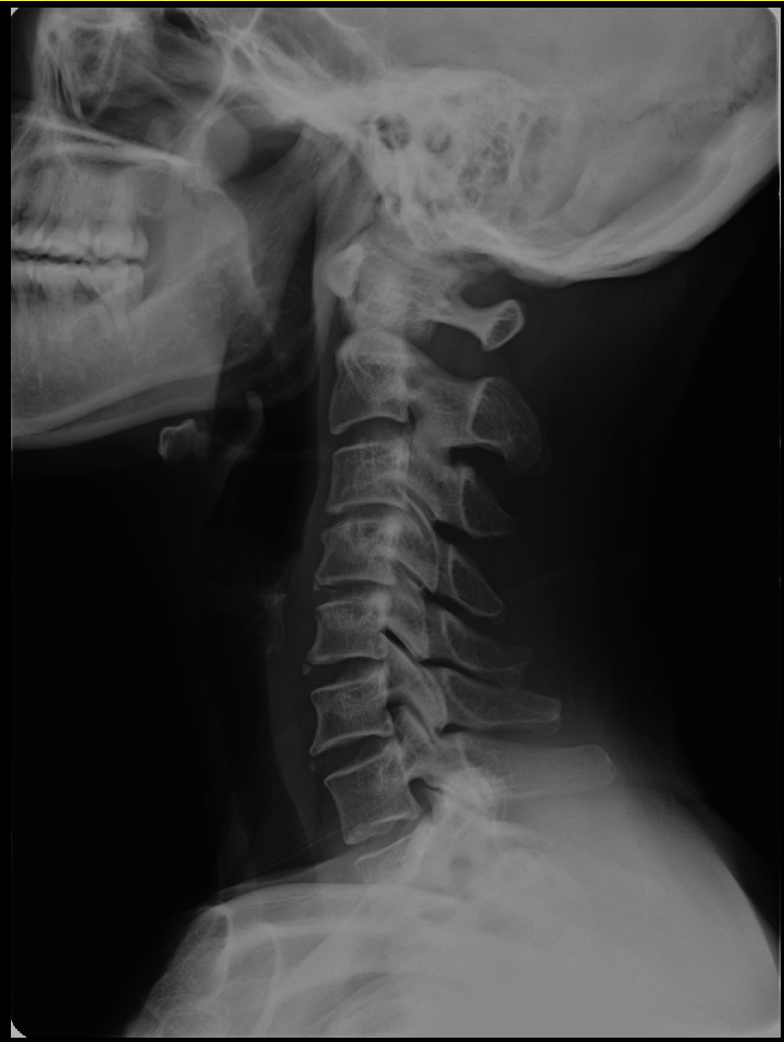
CBA장치를 이용한 치료는 실제로 척추를 움직이고 디스크 간격을 벌려주며 턱관절과 척추의 기능이 회복될 수 있게 하는 스프린트 치료이기 때문에 턱관절에는 스프린트 역할을 해주면서 척추에는 수술을 한 것 같은 척추라인을 만들어 주는 치료입니다. 마취하지 않고 척추를 움직이고 디스크를 벌려준다는 매우 큰 장점이 있어서 교정치료가 끝난 후에 다시 X-ray, MRI 검사를 해보면 치료 전 척추의 모양이 바른 모양으로 바뀌어져 있는 것을 볼 수 있습니다. 신도림동 터커리한의원은 이런 교정 치료를 집중적으로 합니다. 치아가 없어도 틀니라도 있으면 나이가 많아도 치료가 가능합니다. 치아의 유무가 이렇게나 중요합니다. 턱관절과 연결된 치아의 상태에 따라 전신질환에 직접적인 영향을 주기도 하고 치료도 할 수 있습니다. 그래서 환자의 치아의 상태가 치료가능 유무나 치료기간을 결정짓는 요소일 수 있고 질병의 단계에 따라서도 결과는 달라질 수도 있습니다. 큰 병원에서 수술을 받고 남은 후유증도 치료가 가능합니다. 수술을 받았다고 해서 치료 다 받은 거 아닙니다. 그냥 물리치료나 받고 살아야지 하는 것은 효과가 없는 걸 알면서도 불안해서 병원만 가는 것뿐입니다.. 더 좋은 턱관절장애 치료 허리치료를 받고 싶으시면 신도림동 터커리한의원에 오셔서 치료받아보세요.https://naver.me/FgiE6Sux
반응형'터커리' 카테고리의 다른 글
턱관절장애, 사경증환자, 요추협착증 환자가 CBA치료를 받아야 하는 이유 (61) 2024.07.23 일자목을 가볍게 보지 말고 자가진단 치료하지 마세요 (82) 2024.07.22 턱관절치료는 스프린트가 필요합니다. 턱관절한의원에서 CBA로 교정받으세요. (70) 2024.07.19 사경증(dystonia)은 CBA로 치료받고 X-ray로 판단하라 (64) 2024.07.17 턱관절 디스크도 CBA를 이용한 턱관절교정이 필요하다. (96) 2024.07.08
