-
턱관절소리는 경추교정을 우선하라 _ 터커리한의원터커리 2025. 8. 18. 15:58반응형
네이버 지도
터커리한의원
map.naver.com
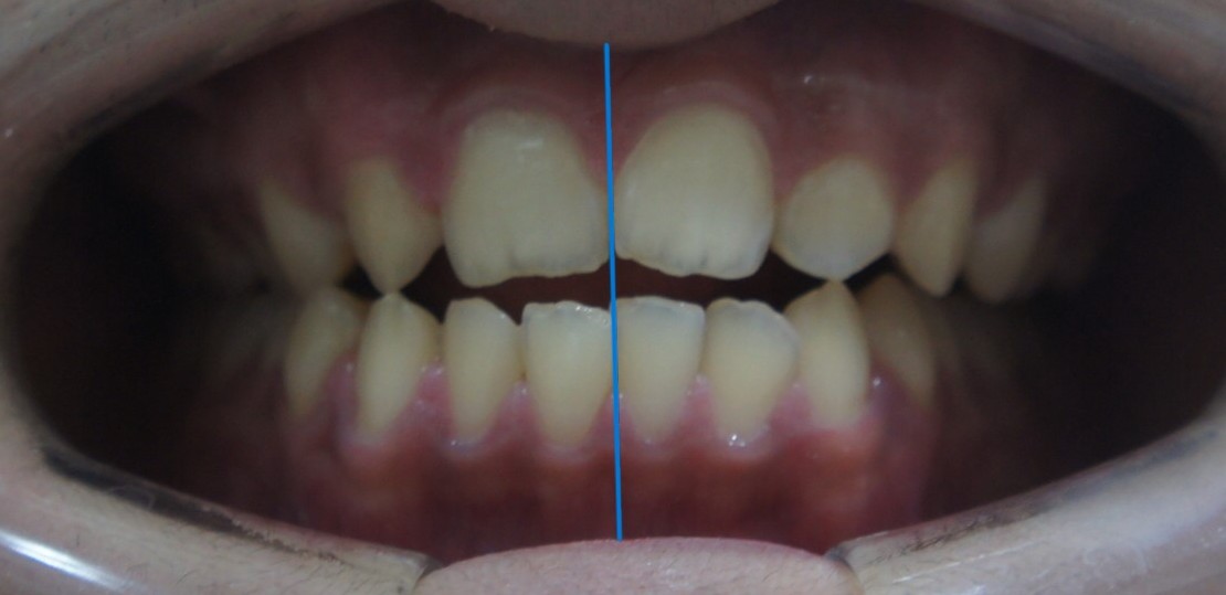
턱소리가 난다면 고쳐야 할까 그냥 두어도 될까? 반드시 교정치료를 해야 한다. 턱소리가 난다는 것은 양쪽의 턱의 균형이 맞지 않아서 나는 덜거덕 하는 잡음이기 때문이다.

턱관절소리 턱소리는 전신 통증의 원인
턱소리가 나면서도 턱통증은 없을 수도 있지만 통증이 있거나 개구장애가 오거나 덜그덕거리는 턱관절은 경추를 비틀고 경추 주변 신경계를 눌러서 통증을 만들고 뇌신경교란이나 허리디스크까지도 만들게 되는 전신통증의 원인처가 된다. 눈치 빠른 환자들은 허리디스크가 있다면 원인이 되는 턱소리를 고치는 치료가 원인불명의 전신통증을 치료하는 원인처라는 것을 알게 알 것이다. 하지만 턱관절치료를 중요시하여 정확하게 경추 1번과 턱관절의 좌우 균형을 맞추는 교정치료를 하는 의료기관이 없으며 결코 쉽지 않은 치료라는 것이다. 이것은 통증에 진통제를 주고서 통증을 없애는 치료와는 다른 차원의 치료이며 수년간의 교정 경험이 필요한 치료 이기 때문이다.
경추의 C커브는 턱관절의 바닥이다
일자목이나 역커브 목디스크의 목상태에서는 턱관절은 불균형상태이다. 턱소리를 치료하기 위해서는 C커브의 경추 위에 턱관절교정이 이루어져야 한다. 일자목, 역커브 상태의 턱통증 환자가 CBA를 이용한 교정을 수십 회 받고 난 후 다시 경추 X-ray 검사를 받았을 때 C커브로 바뀌는 경우가 대부분인 것으로 역추적한 가설과 검증이다. 이 결과는 경추교정이 제대로 되지 않은 상태에서 턱통증 턱소리는 치료될 수 없다는 것이고 서울 신도림동 터커리한의원에서는 이것을 바탕으로 나사 빠진 상태인 경추 1번을 교정한 후에 그 위에 턱관절균형을 맞추어서 스프린트 제작을 해서 균형유지 장치 인 CBA를 환자에게 착용시키면 턱소리 턱통증은 매우 빨리 치료가 되며 그 교정작업을 1,2개월을 반복하면 비로소 처음보다 매우 감소한 턱관절의 상태를 환자는 느끼게 된다. 매우 복잡하지만 그래야 우리 몸의 중추인 경추와 턱관절은 아귀가 맞아지게 되어 편안한 경추 허리 턱관절을 자연스럽게 이루게 되어 연축성사경증 근긴장이상증 목디스크 허리협착증 등이 서서히 풀리게 된다.
경추와 턱관절과 척추교정은 진통제 수술의 위험성 등을 겪을 필요가 없는 치료
이렇게 비침습적인 자연스러운 경추와 턱관절과 척추교정은 진통제 수술의 위험성 등을 겪을 필요가 없는 치료라는 것이 큰 장점이며 턱관절과 경추교정만으로도 뇌신경계의 안정성 여기저기 디스크와 통증 치료의 효과등을 느낄 수 있는 것 또한 큰 장점이라고 할 수 있다. 40년 된 허리디스크 환자나 척추 여기저기가 휘어있는 환자는 오랜 기간의 치료기간이 필요할 것이다. 40년 된 허리협착증 할아버지가 1주일 교정치료받더니 80%는 좋은데 그 이상은 아니라고 하는 것은 본인의 상태를 너무 모르고 하는 큰 기대일 것이다. 의사의 치료도 중요하지만 환자의 노력도 매우 필요로 한다. 100번의 교정이 필요로 한다면 100번의 교정을 받아야 할 것이다. 너무 오래 걸리는 것이 아닌가 질문할 수 있지만 교정치료를 하루하루 받아보면 턱통증 턱소리 목통증 허리통증이 빠른 속도로 치료되는 즐거움을 느낄 수 있을 것이고 완치의 희망을 가질 수 있을 것이라고 생각이 된다. 1회용 스프린트를 이용한 턱소리 턱통증 치료 스프린트는 경추가 바르게 교정이 되면서 더 나은 위치로 이동을 하다 보면 턱관절균형을 다시 잡아야 하는 상태로 접어들게 되는데 이때는 착용하던 스프린트는 빼야 하고 다시 서울 신도림동 터커리한의원으로 내원하여 새로운 스프린트 제작을 해야 하는데 턱통증 턱소리가 없어질 때까지 반복해야 한다. 턱통증은 목, 허리, 두통등 전신의 여러 군데의 통증을 만들게 된다. 이것을 몰랐다면 지금 바로 서울 신도림동 터커리한의원에 와서 치료받아보시기 바랍니다.
반응형'터커리' 카테고리의 다른 글
연축성사경증(Spasmodic Torticollis), 근긴장이상증(Dystonia) 터커리한의원 (9) 2025.08.23 터커리한의원 연축성사경증치료는 턱관절교정을 주시하라 (13) 2025.08.12 혈소판감소증의 식이요법 혈액 건강을 위한 음식 추천 (12) 2025.01.07 삼차신경통과 턱관절 통증을 예방하고 편안한 일상을 즐기는 방법 (10) 2025.01.06 요추협착증을 치료하려면 턱관절 교정이 반드시 필요하다. (79) 2025.01.03