-
터커리한의원 연축성사경증치료는 턱관절교정을 주시하라터커리 2025. 8. 12. 11:20반응형
네이버 지도
터커리한의원
map.naver.com
연축성사경증은 매우 생소한 질병명이다. 하지만 지금도 사경증으로 힘들어하고 치료를 받고 있는 환자들은 매우 많다. 사경증의 증상이 심한 환자들은 일상 생활이 불가능하고 주변 사람들과 격리된 생활을 하게 된다. 정확하게 사경증의 원인을 알기 힘들며 치료방법은 더욱 불투명한 것이 사실이다.

연축성사경증 연축성사경증의 원인은 경추에 있다
연축성사경증은 경추가 틀어지고 휘어지기 때문에 발생하는데 병원에서는 이러한 척추가 비정상적으로 바뀌는 형태에 대해서 치료방법이 의외로 없는 실정이다. 척추는 일자목부터 역커브 측만증 디스크 등 그 사람의 선천적인 원인이나 후천적인 원인 등에 의해서 차츰 차츰 변하게 되어있다. 경추에는 또한 큰 비밀이 있는데 경추1번과 2번 사이에는 디스크라고 하는 연골이 없다 이것은 사경증 치료에 가장 큰 열쇠가 되며 경추1번과 2번은 턱관절, 부정교합에 의해서 더 많이 틀어지거나 여러 가지 허리디스크 허리협착증 등을 만들게 되는 첫 출발이 된다는 것을 절대 무시해서는 안된다. 이글은 쓰는 본인은 20여년을 경추와 턱관절교정을 하면서 연축성사경증 틱장애 허리협착증 등을 치료해왔지만 아직까지도 환자과 척추의료기관들은 아프다고 하는 그 부위에 진통제만을 쓰는 방법을 사용하고 있고 이러한 경추와 척추의 해부학적인 사경증과 척추질병의 원인 해결에는 도무지 관심을 갖으려고 하지 않는다.
환자의 교합상태가 사경증을 만들기도 하고 사경증을 치료하게도 한다
심지어 교합상태가 가지런 하고 심미적으로 좋은 사람도 좀 더 세밀하게 보면 속 안의 턱관절은 틀어져있거나 바르지 않은 교합을 가지고 있는 경우가 태반이다. 경추1번과 턱관절과 경추2번이 덜그덕 덜그덕 빠져있기 때문에 그 아래의 3번부터의 척추들은 무질서하게 변형되다가 결국에는 경추 주변을 지나다니는 신경계 혈관계 운동반응계 들의 흐름을 차단하고 디스크탈출증을 만들게 되고 그 사람은 그때부터 사경증이나 허리협착증 등의 증상과 통증을 느끼게 된다. 그러면 어떻게 치료해야할까?
나사빠진 경추 때문에 발생했다면 빠진 나사를 제자리에 잘 끼워 넣으면 되는 것
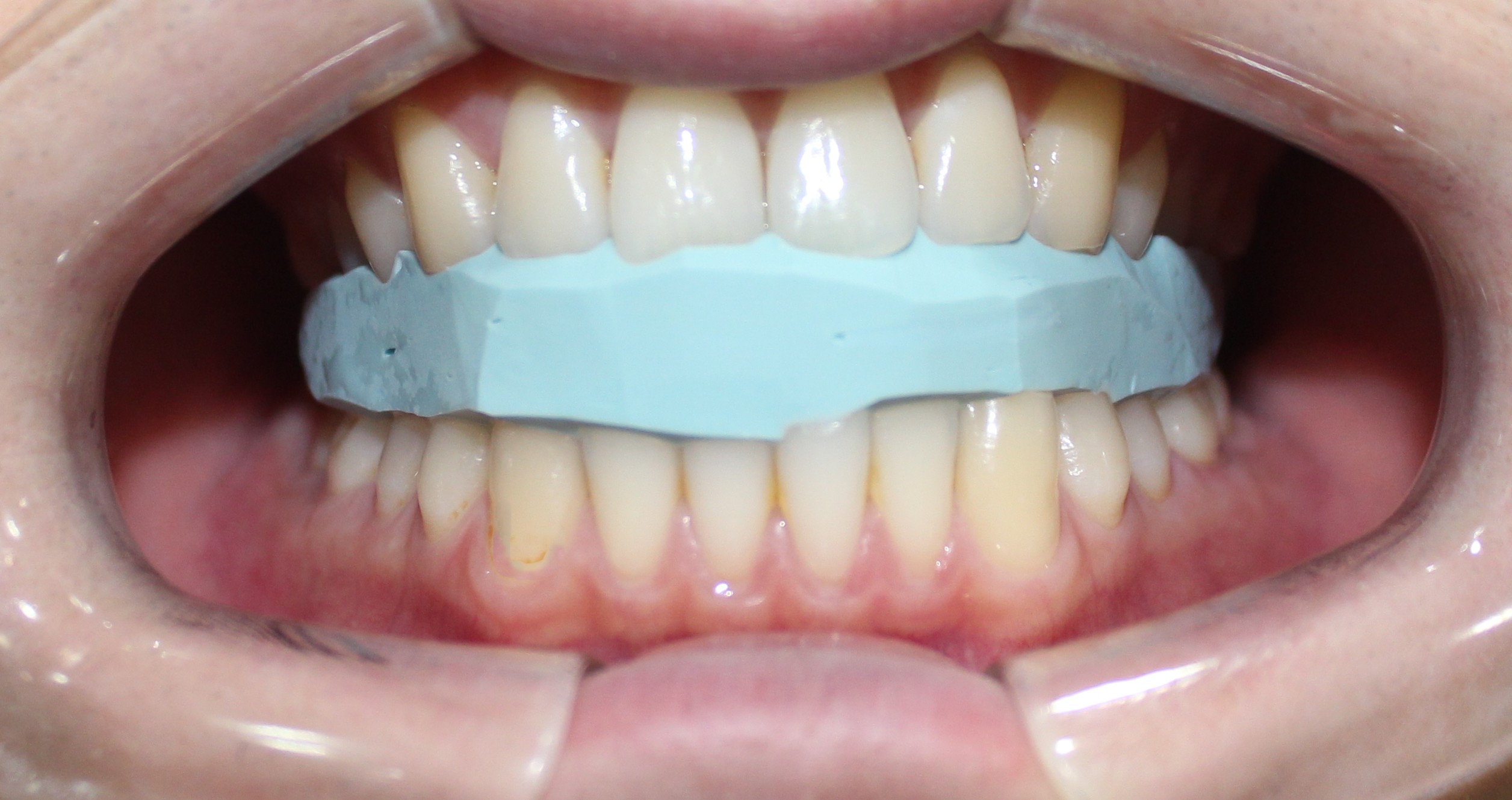
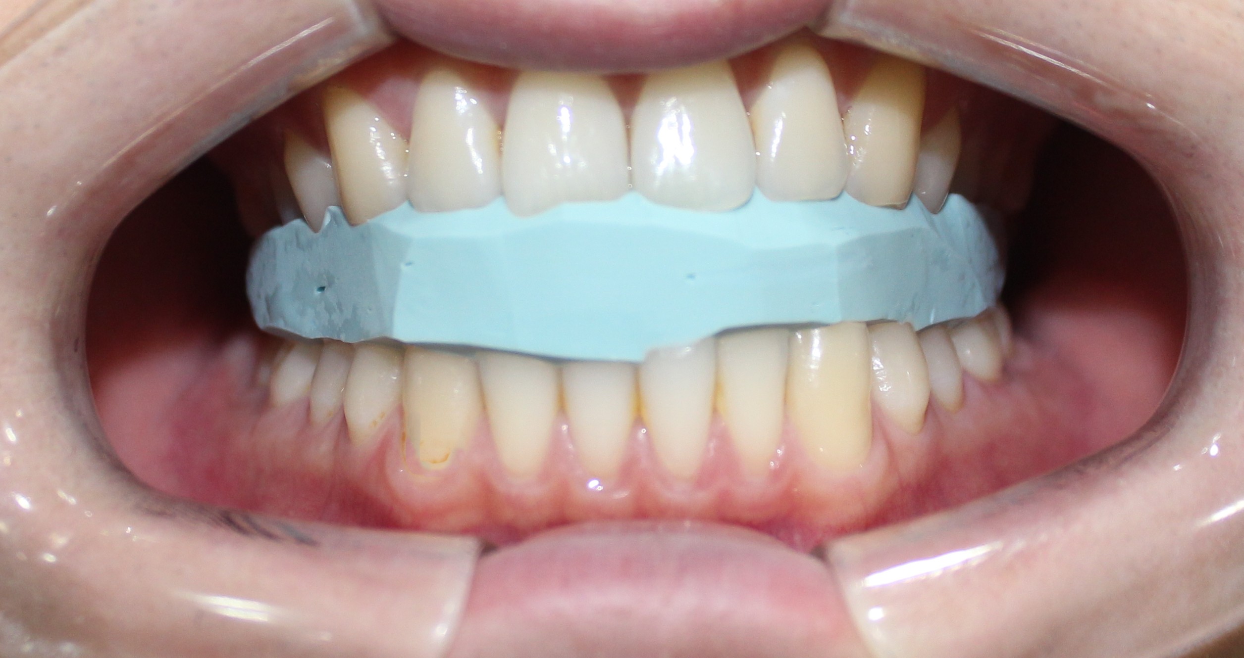
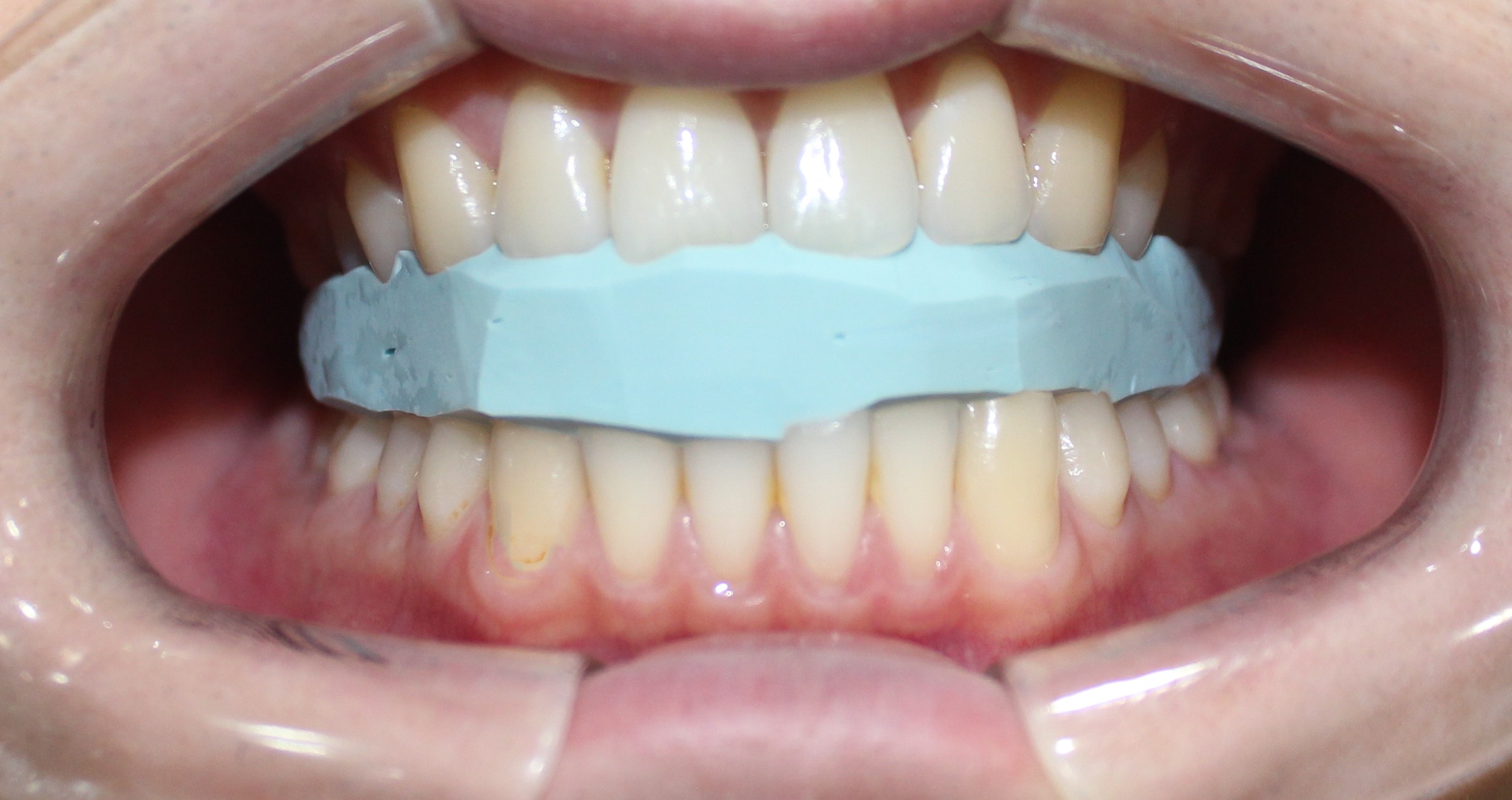
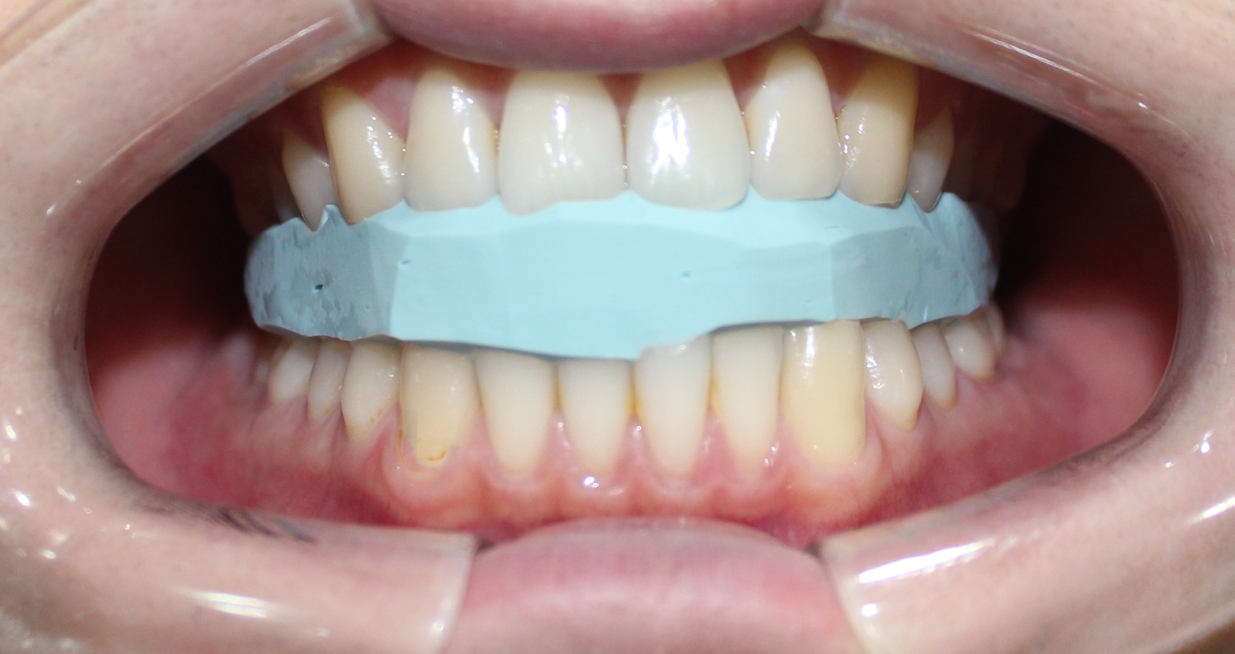
연축성사경증 뚜렛증후군 틱장애 턱통증 등이 나사빠진 경추 때문에 발생했다면 빠진 나사를 제자리에 잘 끼워 넣으면 되는 것이다. 턱관절과 경추의 균형은 0.05mm만 틀어져도 반응을 한다. 턱관절과 경추를 반듯하게 해주는 CBA장치를 만들어서 지금까지 틀어지고 빠지는 경추와 턱관절의 상태는 가지런하게 맞추어주는 동시에 연축성사경증 턱통증 허리디스크통증 틱장애 등은 잠잠하게 완화가 된다. 구강내로 착용하게 되는 CBA장치는 무너진 경추라인과 턱관절을 바르게 유지해주어서 그 주변을 지나는 MRI로는 보이지 않는 신경들이 막히지 않도록 유지해주는 cast와도 같은 역할을 하게된다. 이 CBA장치는 1회용으로만 사용하게 되며 경추가 바르게 움직이느라 교정이 되면 서울 신도림동 터커리한의원에 다시 와서 경추와 턱관절이 틀어졌는지를 확인을 받고 틀어져 있다면 새로운 CBA장치를 만들어서 다시 착용을 하는 치료를 반복을 하는 동안 경추에 눌려있던 경추신경계가 원활하게 순환이 되어 신경성, 스트레스성이라고 들었던 연축성사경증, 턱통증, 틱장애 등이 자꾸자꾸 좋아지는 것을 바로바로 느낄 수 있을 것이다. 척추가 좁아졌으니 바르게 벌려주는 연축성사경증 치료를 지금 서울 신도림동 터커리한의원에 오셔서 받아보시기 바랍니다.
터커리한의원
terkeri.co.kr
반응형'터커리' 카테고리의 다른 글
연축성사경증(Spasmodic Torticollis), 근긴장이상증(Dystonia) 터커리한의원 (7) 2025.08.23 턱관절소리는 경추교정을 우선하라 _ 터커리한의원 (6) 2025.08.18 혈소판감소증의 식이요법 혈액 건강을 위한 음식 추천 (12) 2025.01.07 삼차신경통과 턱관절 통증을 예방하고 편안한 일상을 즐기는 방법 (10) 2025.01.06 요추협착증을 치료하려면 턱관절 교정이 반드시 필요하다. (79) 2025.01.03