-
일자목을 가볍게 보지 말고 자가진단 치료하지 마세요터커리 2024. 7. 22. 09:25반응형
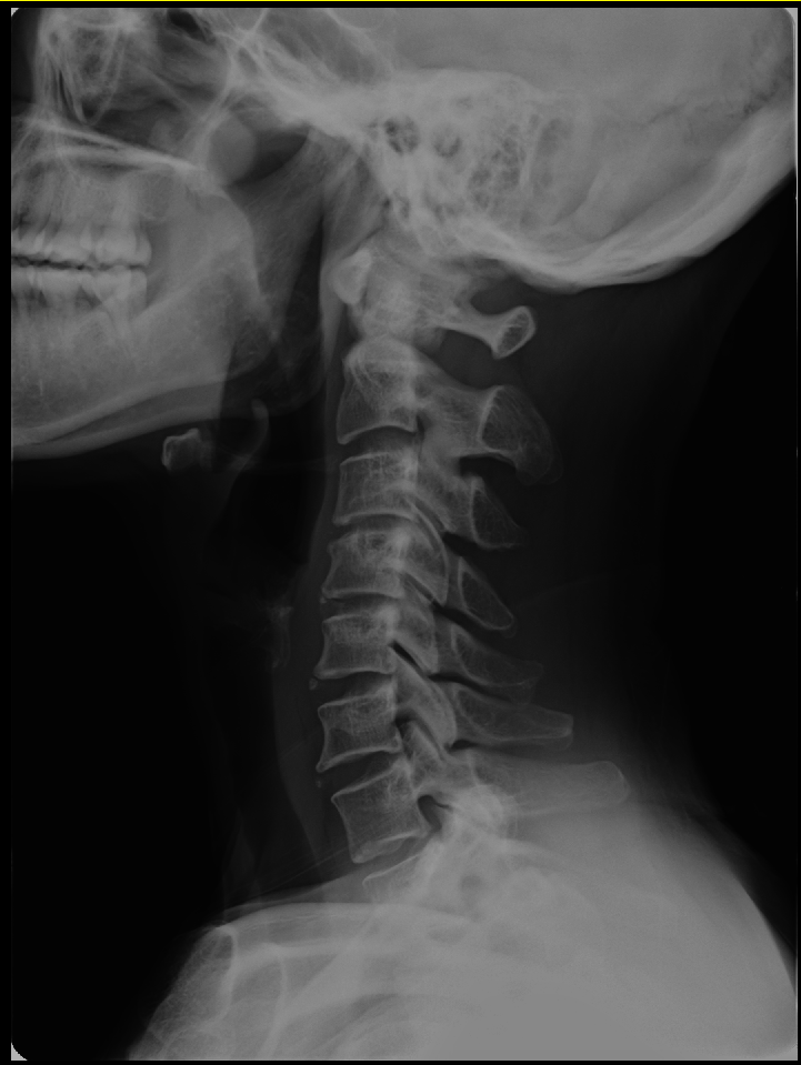
척추환자는 척추 사이가 좁아졌거나 통증이 심한 경우 외에는 그냥 그럴 수 있는 것으로 넘기는 경우가 의외로 많습니다. 가장 흔하게 넘어가는 경우가 이 일자목의 경우인 것 같은데요.

CBA장치를 이용한 턱관절 교정으로 일자목을 C커브로 바꾸세요 일자목은 경추 7번 이하의 모든 척추뼈들을 아래로 밀어낸다던지 척추 간 사이를 좁아지게 만드는 직접적인 원인 제공을 하게 됩니다. 목이 나빠지면 허리가 나빠지게 되고 허리가 나쁘다면 목이 아프지 않아도 목부터 C커브로 교정을 하지 않으면 평생 그 형태에서 계속 나쁘게 퇴행이 오고 허리디스크까지 만들게 됩니다. 허리디스크가 오는 원인이 경우에 따라서 다를 수 있지만 치료는 좁아진 디스크를 벌려야 한다는 것입니다.https://naver.me/FgiE6Sux
터커리한의원 : 네이버
방문자리뷰 55 · 블로그리뷰 90
m.place.naver.com
역커브인 경우는 좀 더 심각하다.
목이 C커브의 반대로 꺾여 있다면 일자목을 넘어서 역 C커브로 변형이 된 형태인 거죠. 늘 뒷목이 뻐근하고 등이 결렸다가 어깨가 아팠다가 두통이 있고 아침에 일어나면 뒷목이 뻐근하고 허리도 좀 아플 때가 있어요... 젊은 환자들이 이런 경우가 많고 항상 목을 꺾어보고 근육을 풀어보려고 하고 담은 한의원이니까 침치료받고 경추베개를 쓰고... 해도 전혀 치료에는 진전이 없습니다. 근육치료와 뼈치료는 엄연히 다른 것입니다. 이렇게 해서 역 커브가 C커브로 바뀌지 않는다는 것입니다. 경추가 옆으로 휜 것은 어떻게 할 건데요...? 10여 년 가까이 역커브, 일자목이 방치가 되면서 척추들은 계속 주저앉게 되고 어느 날 갑자기 허리가 삐끗하거나 목에서 디스크 초기 진단까지 가면서 디스크 환자의 대열에 들어갑니다. 지금까지는 운동 잘하고 침치료받고 하는 수준의 환자였는데 이제부터는 대형 척추병원에서 치료받아야 하는 책임감을 환자들이 느낍니다. 척추의 변형과 주저앉는 것을 평생 치료해야 하는 일이 된다면 이 얼마나 경제적으로 시간적으로 낭비입니까.https://naver.me/FgiE6Sux
터커리한의원 : 네이버
방문자리뷰 55 · 블로그리뷰 90
m.place.naver.com
일자목을 C커브로 바꾸자
일자목을 C커브로 바꾸면 좁아진 허리디스크 공간도 벌어지게 됩니다. 그러기 위해서는 경추 1,2번과 턱관절교정을 이용한 CBA교정 치료를 받아야 합니다. 치아교정, 턱관절치료는 절대적으로 심미적인 치료가 목적이 되어서는 안 되는 것입니다. 척추와 턱관절이 기능적으로 움직이는데 문제가 없게 턱관절 교정을 하고 난 후 마지막으로 교정을 해야 합니다. 턱관절치료가 안 돼서 고생인 환자들 목, 허리 치료가 안 돼서 고생인 환자들 모두가 경추 1,2번은 절반은 빠져있다는 것, 턱관절이 경추 1,2번을 비틀게 한다는 것을 모르고 허리 아프면 허리치료 턱 아프면 치과 치료만 받아서 효과도 없고 부작용에 고생을 하고 있는 것입니다. 환자들이 근육을 키우는 PT를 하거나 마사지를 받거나 경추베개를 베고 자거나 하면 될 거 같이 생각하고 병원 가면 누구나 일자목은 있어요 하고 넘어가고 혹은 도수치료받고.. 전혀 치료가 되지 않습니다. 일자목 치료를 무슨 스포츠, 운동의 하나로 생각하는 분들 있는데요 반드시 경추교정을 제대로 받지 않으면 C커브가 되지 않는다는 것. 아직까지 이렇게 해서 일자목 좋아지는 경우를 본 적이 없습니다. 부정교합이나 턱관절이 맞지 않으면 해부학적으로도 빠져있는 목은 더 비틀리게 됩니다. X-ray 찍으면 그냥 하는 말만 듣지 마시고 어떻게 하면 C커브로 바뀔 수 있는지 따져 보세요. 꾸준히 관리와 운동은 치료가 아닙니다. 2,3개월 교정을 받으면 C커브로 바뀌어야 합니다. 경추 1,2번과 턱관절 교정을 CBA로 받아야 그러한 변화를 줄 수 있습니다. 제가 미처 모르는 어떠한 운동이나 자세치료를 받고 정말 C커브로 경추가 바뀌었다면 X-ray 검사로 다시 재확인이 되어야 하고 허리의 통증도 줄어야 합니다. 신도림동 터커리한의원에서 CBA를 이용한 턱관절교정을 받았을 때 가장 큰 변화는 일자목이 C커브로 바뀌는 것입니다. 그다음에 사경증도 좋아지고 측만증, 허리디스크까지 점점 아래로 척추변화가 이루어집니다. 척추교정은 골반으로 하는 것이 아니고 목부터 해야 하고 반드시 X-ray, MRI 검사 확인을 받으세요. 통증이 많이 줄어서 만족을 하시는 것도 매우 좋은 일이지만 검사 확인을 추천드립니다. 환자마다 치료기간과 만족도는 척추 상태에 따라 달라지는 이유도 여기에 있습니다. 모든 치료에는 부작용도 있을 수 있으니 꼭 X-ray, MRI 검사를 지참하시고 내원하시기 바랍니다.https://naver.me/FgiE6Sux
터커리한의원 : 네이버
방문자리뷰 55 · 블로그리뷰 90
m.place.naver.com
반응형'터커리' 카테고리의 다른 글
턱관절교정으로 수술하지 않고 목, 허리 디스크를 고치자 (50) 2024.07.23 턱관절장애, 사경증환자, 요추협착증 환자가 CBA치료를 받아야 하는 이유 (61) 2024.07.23 CBA를 이용한 턱관절교정은 10병원 안 부럽다. (74) 2024.07.20 턱관절치료는 스프린트가 필요합니다. 턱관절한의원에서 CBA로 교정받으세요. (70) 2024.07.19 사경증(dystonia)은 CBA로 치료받고 X-ray로 판단하라 (64) 2024.07.17